AmmoniaBorane(NH3BH3,简称AB,)以其含氢量高,性质稳定,被认为是最具有潜力的储氢材料之一。但AB也存在放氢温度偏高、放氢过程中材料体积膨胀、以及伴有副产物等缺点。陈萍研究员等首次利用“共沉淀法”将Co、Ni催化剂纳米颗粒分散到AB中,从而实现了AB在低于质子膜燃料电池(PEMFC)操作温度下的分解放氢,同时减弱了AB放氢过程中产物的膨胀现象并抑制了副产物的生成。来自美国太平洋西北国家实验室的ThomasAutrey博士对该工作给予了高度评价,认为该储氢体系为燃料电池提供了一种有效的供氢方式。
陈萍研究员领导的科研团队是我所2008年从新加坡国立大学整体引进的。该团队多年来致力于新型储氢材料的研究,已成功研发出金属氮基和金属氨基硼烷两个储氢材料体系。研究成果发表在《Nature》,《NatureMaterials》,《AngewandteChemieInternational Edition》,《AdvancedMaterials》等杂志上。(图/文何腾)

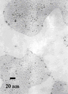
59℃下Co、Ni催化剂修饰的AB脱氢曲线 Co基催化剂TEM照片
