快速导航
考研新闻
统考公共课
统考专业课
考研指南经验
考研院校
专业硕士
专业课资料
考研电子书
考试考证
出国留学
Free研究生招生
题库
故事
专题
APP
笔记
论坛
搜索
VIP
资料
首页
>
辽宁
>
大连化学物理研究所
删除或更新信息,请邮件至freekaoyan#163.com(#换成@)
我所可逆检测过氧化亚硝酰分子荧光探针研究取得新进展
本站小编 Free考研考试/2020-04-08
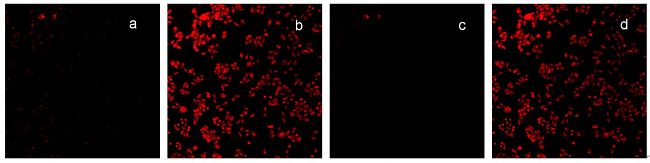
近日,1101组韩克利研究员在可逆检测过氧化亚硝酰分子荧光探针的研究中取得新进展,相关结果以通讯的形式发表在最近一期的J. Am. Chem. Soc.上 ( J. Am. Chem. Soc., 2011, 133 (29), pp 11030–11033, DOI: 10.1021/ja202582x)。
韩克利研究组根据生物体内的硒酶催化原理,开发出一个近红外含硒功能团的荧光探针,用于过氧化亚硝酸的可逆检测。在生理条件下,该探针可用于过氧化亚硝酸盐的氧化/还原事件的高灵敏度、高选择性的监测。该探针可有效地避免细胞自发荧光的影响,在水溶液和活细胞进行的测试中均给予了积极的信号近红外荧光响应, 并给出了详细相互作用机理。研究人员还成功拍摄了细胞中过氧化亚硝酸盐浓度变化的实时图像。(文/于法标、李鹏 图/于法标)
相关话题/
过氧化
探针
领限时大额优惠券,享本站正版考研考试资料!
优惠券领取后72小时内有效,10万种最新考研考试考证类电子打印资料任你选。涵盖全国500余所院校考研专业课、200多种职业资格考试、1100多种经典教材,产品类型包含电子书、题库、全套资料以及视频,无论您是考研复习、考证刷题,还是考前冲刺等,不同类型的产品可满足您学习上的不同需求。 ...
考试优惠券
本站小编 Free壹佰分学习网 2022-09-19
纳米探针功能设计及调控机制研究获系列成果
近日,2018年度吉林省科学技术奖揭晓。由中国科学院长春应用化学研究所逯乐慧研究员等完成的“纳米探针功能设计及调控机制研究”成果荣获2018年吉林省自然科学奖一等奖。 纳米探针作为当今国际分析化学领域的研究热点,在水资源和医疗健康领域有重大的应用需求。如何实现纳米探针功能设计并理解其调控机制是该领 ...
中科院长春应用化学研究所
本站小编 Free考研考试 2020-03-19